What Is Tooth Wear
Tooth wear is the premature loss of tooth structure, affecting appearance, comfort and bite stability.
If you've notice changes in the shape or colour of teeth, or your bite has altered, you may have tooth wear.
Today, we recognise that a certain amount of tooth wear happens with age - we call this physiologic wear - and that it is normal. However, some tooth wear happens at an accelerated rate, causing changes to appearance, comfort and collapsing the bite and face.
Isn't it normal that teeth wear down with age? Yes and No. Early humans had flat, worn teeth, a function of eating a coarse, gritty diet and wear occurred at a steady rate with age. Today, dentists are seeing a lot more wear in younger patients, with diet and lifestyle playing a significant role.
How Much Wear Is Normal ?
Studies have been done to measure physiologic or normal wear in adults. A study done by Ray measured the changes in the length of front teeth in patients up to age 70 by comparing measurements on xrays. The study showed a normal rate of wear on a front top tooth (maxillary incisor) is 1mm and a bottom front tooth is 1.4mm by age 70. That means that if you are 45 and you've already lost 2mm of tooth structure, you have pathologic wear. Then we start to decipher why wear has occurred at a more rapid rate.
That means that if you are 45 and you've already lost 2mm of tooth structure, 
you have pathologic wear.  
                Why does Pathologic Wear occur?
Our lifestyle today is very different to that of the hunter-gatherer early human populations. We eat and drink differently, we are less active and more overweight than ever before, our jaws got smaller and more crowded and all of these factors conspire to increase our risk of tooth wear. We do know that acids, either dietary acids or intrinsic stomach acid, accelerate the rate of normal physiologic wear. We have acids in our diet in ways that we don't realise today, speeding up tooth surface loss by softening and dissolving enamel, allowing normal chewing to hasten normal wear rates. Weight gain, sleep apnoea and lack of sphincter tone allow stomach acid to escape up the oseophagus where it may sit around teeth at night when we lie flat. These are all factors that make modern day tooth wear accelerate, especially when acids are involved.
Does Tooth Wear Happen Quickly?
No, sometimes it takes years to be obvious and patients have no idea it is occurring unless it is visible and affecting the smile. Dentists are trained to pick up the early signs, find the cause and help guide in lifestyle changes to halt wear. We use new digital tools to track wear progression, and initially take a "Measure and Monitor" approach to very early wear. If we find that tooth wear is active and progressing we will suggest treatment. Pathological wear usually require more interventive treatment, such as rebuilding damaged teeth, worn bites and smiles.
Can Tooth Wear Affect Everyone?
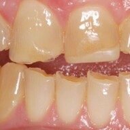
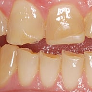
Yes and No. Many patients go through life with normal physiologic wear associated with aging. In this photo we see an 82 year old patient with very little wear and few dental health issues. While his teeth are yellow and glossy, showing some enamel loss, this is an expected amount in a healthy mouth. His diet is good, he has plenty of saliva and we've been caring for him for three decades. Sometime tooth wear creeps up on patients who might change their dietary habits, start taking medication that dries the mouth, experience stress and associated health issues such as reflux, tooth grinding or start a health habit that is damaging to teeth e.g the apple cider vinegar diet, or lemon detox diet.
Take the Tooth Wear Test to see if you have signs of tooth wear, and read more below about the things we look for in diagnosing tooth wear.
                We create personalized plans tailored to your unique needs and goals.
Book your appointment today!
We assess tooth wear and its causes in depth, making sense of a hidden issue, providing solutions and peace of mind.





